Czy mleczaki trzeba leczyć

O roli mleczaków w rozwoju dziecka często zapomina się, traktując je jedynie jako tymczasowy element uzębienia. Tymczasem pierwsze zęby pełnią kluczową funkcję w prawidłowym kształtowaniu się szczęk, wykształcaniu zdolności żucia oraz rozwoju mowy. Zaniedbanie ich stanu może prowadzić do wielu powikłań, wpływających nie tylko na estetykę uśmiechu, lecz także na ogólny stan zdrowia organizmu. Poniższy tekst przybliża znaczenie mlecznych zębów, omawia najczęstsze problemy oraz przedstawia skuteczne metody profilaktyka i leczenie w stomatologii dziecięcej.

Znaczenie mlecznych zębów w prawidłowym rozwoju dziecka

Mleczne zęby pojawiają się już około szóstego miesiąca życia, a ich obecność stanowi podstawę dla formowania się uzębienia stałego. Odpowiednia liczba zębów mlecznych i ich prawidłowa pozycja w łukach zębowych mają wpływ na:

  • utrzymanie miejsca w szczęce dla przyszłych zębów stałych,
  • stymulację prawidłowego wzrostu kości,
  • rozwój umiejętności żucia oraz trawienia pokarmów,
  • kształtowanie się aparatu artykulacyjnego i rozwój mowy,
  • budowanie pewności siebie poprzez estetyczny uśmiech i prawidłowy zgryz.

Stomatolog dziecięcy zwraca uwagę, że przedwczesna utrata mleczaków może prowadzić do zaburzeń w kolejności wyrzynania się zębów stałych, co skutkuje koniecznością długotrwałego leczenia ortodontycznego. Ponadto, ubytki próchnicowe w zębach mlecznych stanowią źródło infekcji, mogących przedostać się do tkanek otaczających, a nawet do krwiobiegu, zagrażając ogólnemu dobrostanowi malucha.

Problemy zdrowotne i konsekwencje zaniedbań

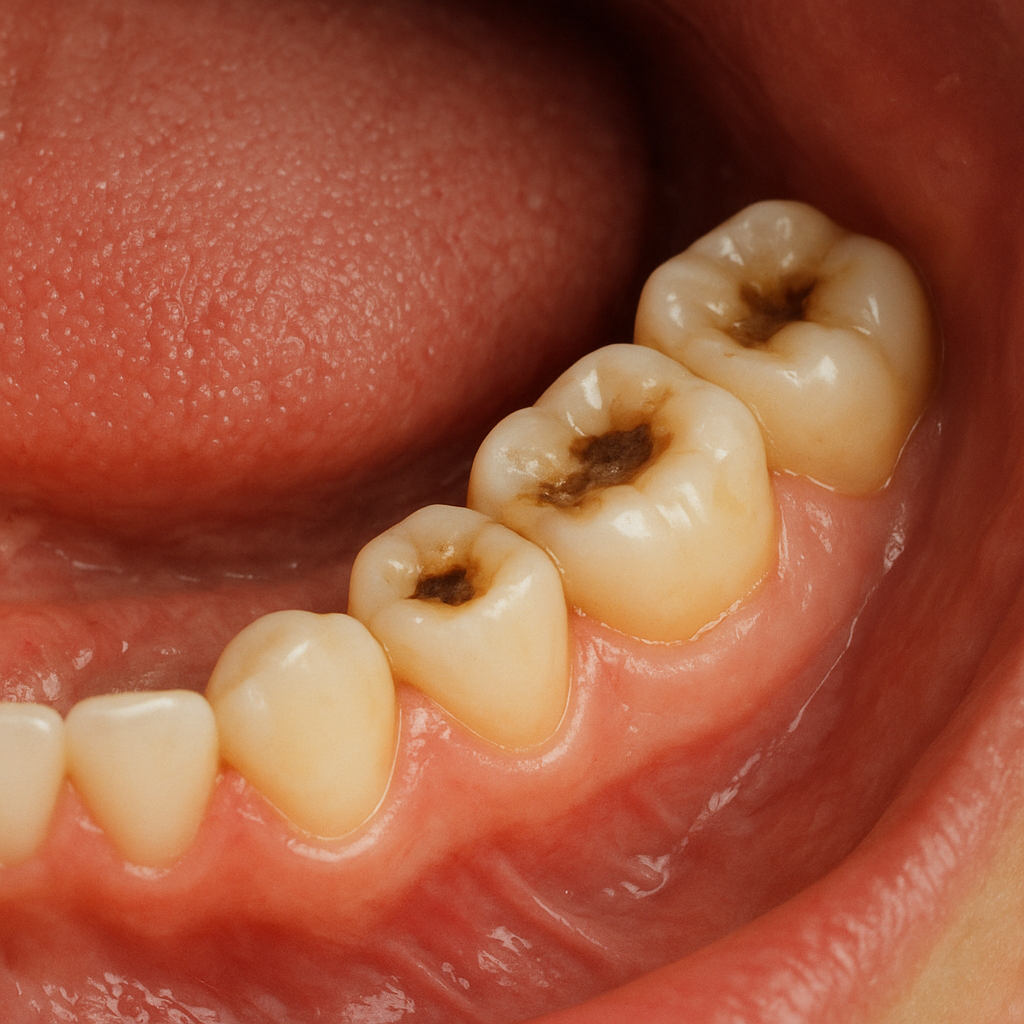
W Polsce próchnica mlecznych zębów nadal pozostaje powszechnym schorzeniem, którego skutki obejmują uszkodzenie szkliwa, ból, stan zapalny miazgi, a w skrajnych przypadkach – przedwczesne usunięcie zęba. Główne czynniki ryzyka to niewłaściwa higiena jamy ustnej, wysokie spożycie cukrów oraz brak regularnych badania kontrolnych. Objawy próchnicy mlecznych zębów:

  • zmiana koloru szkliwa (plamy białawe, brązowe, czarne),
  • nadwrażliwość na bodźce termiczne i chemiczne,
  • ból podczas jedzenia i niespokojny sen w nocy,
  • obrzęk i zaczerwienienie dziąsła wokół zajętego zęba,
  • nieprzyjemny zapach z ust.

Nieleczona próchnica prowadzi do stanu zapalnego miazgi, a w konsekwencji do ropni okołowierzchołkowych, co może zaburzyć wzrost kości szczęki i żuchwy. Dziecko dotknięte powikłaniami może mieć problemy z pobieraniem pokarmu, unikaniem twardych produktów, a w efekcie – gorszym przyrostem masy ciała i niedoborem komfortu psychicznego związanym z bólem.

Metody leczenia mlecznych zębów

Współczesna stomatologia dziecięca oferuje szereg metod, które umożliwiają zachowanie mlecznych zębów, zabezpieczenie ich przed próchnicą oraz leczenie już powstałych ubytków. Do najważniejszych zabiegów należą:

Lakowanie bruzd i szczelin

Procedura polegająca na wypełnieniu specjalnym, płynnym materiałem bruzd i szczelin zębów trzonowych, co umożliwia zapobieganie gromadzeniu się bakterii w trudno dostępnych miejscach. Lak generuje barierę ochronną, redukując ryzyko próchnicy nawet do 80%.

Stomatologia zachowawcza

Do wypełnień stosuje się kompozyty światłoutwardzalne o właściwościach bakteriostatycznych. W przypadku niewielkich ubytków lekarz usuwa zmienione chorobowo tkanki, a następnie odbudowuje koronę zęba, przywracając funkcję i estetykę. Zabieg jest szybki, a pacjent opuszcza gabinet w dobrym nastroju.

Leczenie próchnica kanałowe

Gdy próchnica atakuje miazgę, konieczna bywa terapia endodontyczna. W mlecznych zębach wykorzystywane są metody uproszczone, z zachowaniem elementów wiązkowych korzeni. Celem jest likwidacja zakażenia, a następnie szczelne wypełnienie kanałów resorbowalnym materiałem, który ulega degradacji wraz z fizjologicznym wchłanianiem korzenia.

Profilaktyczna fluoryzacja

Jest to zabieg aplikacji preparatów zawierających fluor w formie laków, żeli lub płukanek. Wzmacnia szkliwo, zwiększa jego odporność na działanie kwasów i hamuje rozwój bakterii próchnicotwórczych. Zabiegi powtarza się co kilka miesięcy zgodnie z zaleceniami lekarza.

Ekstrakcja zębów mlecznych

Usunięcie zęba jest ostatecznością, gdy leczenie zachowawcze jest niemożliwe. W razie utraty mleczaka przed czasem, stomatolog umieszcza utrzymywacz miejsca, by zapobiec przesuwaniu się zębów sąsiednich i zachować przestrzeń dla zęba stałego.

Znaczenie współpracy z dzieckiem i rodzicem

Skuteczna opieka nad jamą ustną malucha opiera się na dobrej komunikacji między lekarzem, rodzicem i dzieckiem. Konsultacje warto rozpoczynać już przy pierwszych zębach, aby przyzwyczaić pacjenta do fotela dentystycznego i zbudować pozytywne skojarzenia z wizytami kontrolnymi. Kluczowe elementy współpracy:

  • edukacja na temat technik mycia zębów – poprawne użycie szczoteczki i pasty,
  • ustalenie prawidłowego planu żywienia – ograniczenie słodyczy i przekąsek między posiłkami,
  • regularne wizyty kontrolne co 6 miesięcy (lub częściej, w przypadku podwyższonego ryzyka próchnicy),
  • wyznaczanie realistycznych celów – nagradzanie za samodzielne mycie zębów,
  • monitorowanie stanu uzębienia w domu – rodzic obserwuje ewentualne zmiany w kolorze i kształcie.

Podstawą sukcesu jest konsekwencja i cierpliwość. Dzięki systematycznej opiece i profilaktycznemu podejściu wiele problemów można wyeliminować na wczesnym etapie. Wizyty edukacyjne oraz warsztaty organizowane przez gabinety stomatologiczne ułatwiają dzieciom oswojenie stomatologicznego fotela, a rodzicom umożliwiają zdobycie cennych wskazówek dotyczących codziennej pielęgnacji jamy ustnej.